-
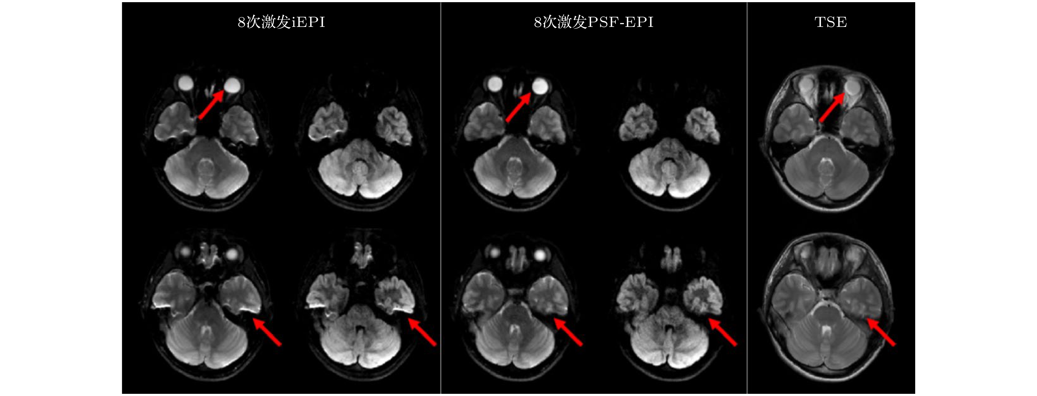
磁共振扩散加权成像(DWI)在神经科学和临床疾病诊断中具有重要价值. 单次激发平面回波成像(ss-EPI)是DWI最常用的技术, 但受主磁场不均匀性和T2/T2*衰减的影响, 易出现几何变形、信噪比低等问题. 为解决这些问题, 研究者开发了更先进的高分辨率磁共振扩散成像技术. 本文对这些成像技术进行综述. 平面回波成像(EPI)方面, 本文介绍了读出分段EPI、交错采集EPI、点扩散函数编码EPI、EPTI等多次激发EPI DWI技术, 这些技术能够减小或消除几何变形、提高图像信噪比和分辨率. 此外, 多次激发EPI与多层同时激发技术(SMS)的结合能够缩短采集时间, 本文对此类技术进行简要介绍. 相较于EPI, spiral成像的信噪比和采样效率更高, 但对主磁场不均匀性更敏感. 在spiral成像部分, 本文分别介绍了单次激发以及多次激发的spiral DWI成像, 以及二者与SMS技术的结合. 本文重点介绍了各类成像技术的原理、采集策略与重建方法. 最后, 本文阐述了高分辨率扩散成像的挑战和未来方向, 包括三维DWI、体部DWI、磁场探针、超强梯度磁共振系统以及超高场磁共振系统.Diffusion-weighted magnetic resonance imaging (DWI) holds significant value in neuroscience and clinical disease diagnosis. The most commonly used single-shot echo-planar imaging (EPI) for DWI is affected by static magnetic field (B0) inhomogeneity and T2/T2* decay, leading to geometric distortion, low signal-to-noise ratio (SNR), etc. To solve these problems, researchers have developed more advanced high-resolution diffusion MRI techniques. This article comprehensively reviews these imaging methods. In the context of echo-planar imaging (EPI), this review covers multi-shot EPI-based DWI techniques, including readout-segmented EPI (RS-EPI), interleaved EPI (iEPI), point spread function-encoded EPI (PSF-EPI), and echo-planar time-resolved imaging (EPTI). These methods effectively reduce or eliminate geometric distortions while improving SNR and spatial resolution. Additionally, the combination of multi-shot EPI with simultaneous multi-slice (SMS) acquisition can shorten scan time, which is also briefly discussed in this article. Compared with EPI, spiral imaging offers higher SNR and sampling efficiency but is more sensitive to B0 inhomogeneity. In the spiral imaging section, we review single-shot spiral DWI and multi-shot spiral DWI, as well as their integration with SMS techniques. This article emphasizes the concepts, acquisition strategies, and reconstruction methods of these imaging techniques. Finally, we discuss the challenges and future directions of high-resolution diffusion imaging, including 3D DWI, body DWI, magnetic field probes, ultra-high gradient systems, and ultra-high-field MRI systems.
-
Keywords:
- diffusion magnetic resonance imaging /
- echo-planer imaging /
- spiral imaging /
- simultaneous multi-slice imaging /
- high-resolution /
- high-fidelity
-
[1] [2] [3] [4] [5] [6] [7] [8] [9] [10] [11] [12] [13] [14] [15] [16] [17] [18] [19] [20] [21] [22] [23] [24] [25] [26] [27] [28] [29] [30] [31] [32] [33] [34] [35] [36] [37] [38] [39] [40] [41] [42] [43] [44] [45] [46] [47] [48] [49] [50] [51] [52] [53] [54] [55] [56] [57] [58] [59] [60] [61] [62] [63] [64] [65] [66] [67] [68] [69] [70] [71] [72] [73] [74] [75] [76] [77] [78] [79] [80] [81] [82] [83] [84] [85] [86] [87] [88] [89] [90] [91] [92] [93] [94] [95] [96] [97] [98] [99] [100] [101] [102] [103] [104] [105] [106] [107] [108] [109] [110] [111] [112] [113] [114] [115] [116] [117] [118] [119] [120] [121] [122] [123] [124] [125] [126] [127] [128] [129] [130] [131] [132] [133] [134] [135] [136] [137] [138] [139] [140] [141] [142] [143] [144] [145] [146] [147] [148] [149] [150] [151] [152] [153] [154] [155] [156] [157] [158] [159] [160] [161] [162] [163] [164] [165] [166] [167] [168] [169] [170] [171]
计量
- 文章访问数: 103
- PDF下载量: 8
- 被引次数: 0








下载: