| [1] |
赵喆芊, 汪书兴, 王希源, 苏洋, 马子茹, 黄新朝, 朱林繁. WSi2的W-L3边高分辨率共振非弹性X射线散射研究. 必威体育下载
,
2025, 74(18): .
doi: 10.7498/aps.74.20250659
|
| [2] |
温亚飞, 田剑锋, 王志强, 庄园园. 冷原子系综中光纤腔增强且高保真度的光学存储. 必威体育下载
,
2023, 72(6): 060301.
doi: 10.7498/aps.72.20222178
|
| [3] |
隋怡晖, 郭星奕, 郁钧瑾, Alexander A. Solovev, 他得安, 许凯亮. 生成对抗网络加速超分辨率超声定位显微成像方法研究. 必威体育下载
,
2022, 71(22): 224301.
doi: 10.7498/aps.71.20220954
|
| [4] |
孙昇, 王超, 史浩东, 付强, 李英超. 分孔径离轴同时偏振超分辨率成像光学系统像差校正. 必威体育下载
,
2022, 71(21): 214201.
doi: 10.7498/aps.71.20220946
|
| [5] |
向鹏程, 蔡聪波, 王杰超, 蔡淑惠, 陈忠. 基于深度神经网络的时空编码磁共振成像超分辨率重建方法. 必威体育下载
,
2022, 71(5): 058702.
doi: 10.7498/aps.71.20211754
|
| [6] |
钟志, 赵婉婷, 单明广, 刘磊. 远心同-离轴混合数字全息高分辨率重建方法. 必威体育下载
,
2021, 70(15): 154202.
doi: 10.7498/aps.70.20210190
|
| [7] |
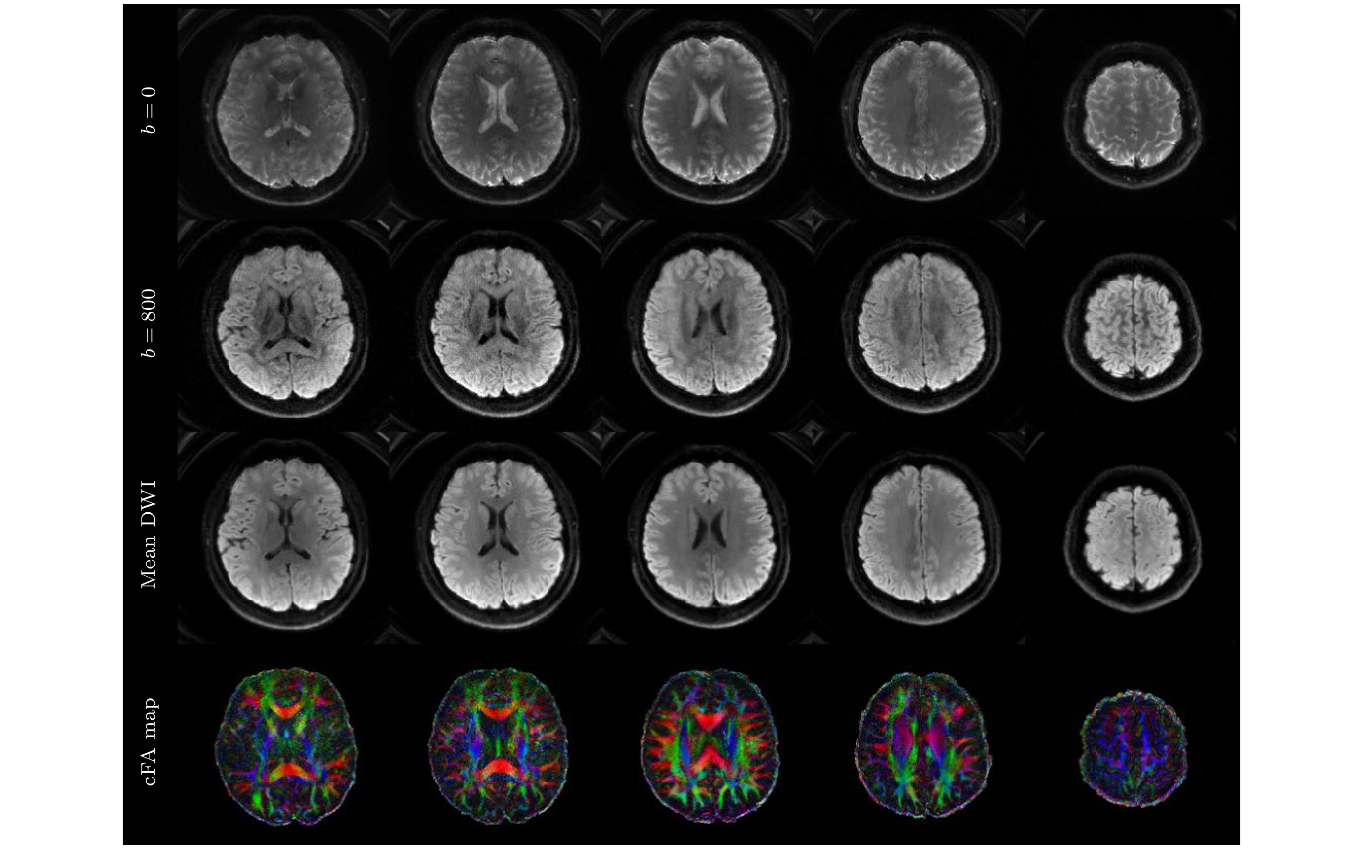
刘良友, 高嵩, 李莎, 李兆同, 夏一帆. 磁共振扩散张量成像中扩散敏感梯度磁场方向分布方案的研究进展. 必威体育下载
,
2020, 69(3): 038702.
doi: 10.7498/aps.69.20191346
|
| [8] |
吕浩昌, 赵云驰, 杨光, 董博闻, 祁杰, 张静言, 朱照照, 孙阳, 于广华, 姜勇, 魏红祥, 王晶, 陆俊, 王志宏, 蔡建旺, 沈保根, 杨峰, 张申金, 王守国. 基于深紫外激光-光发射电子显微技术的高分辨率磁畴成像. 必威体育下载
,
2020, 69(9): 096801.
doi: 10.7498/aps.69.20200083
|
| [9] |
刘飞, 魏雅喆, 韩平丽, 刘佳维, 邵晓鹏. 基于共心球透镜的多尺度广域高分辨率计算成像系统设计. 必威体育下载
,
2019, 68(8): 084201.
doi: 10.7498/aps.68.20182229
|
| [10] |
高强, 王晓华, 王秉中. 基于宽带立体超透镜的远场超分辨率成像. 必威体育下载
,
2018, 67(9): 094101.
doi: 10.7498/aps.67.20172608
|
| [11] |
朱学涛, 郭建东. 新型高分辨率电子能量损失谱仪与表面元激发研究. 必威体育下载
,
2018, 67(12): 127901.
doi: 10.7498/aps.67.20180689
|
| [12] |
李杰, 朱京平, 张云尧, 刘宏, 侯洵. 光谱分辨率可调的新型干涉成像光谱技术研究. 必威体育下载
,
2013, 62(2): 024205.
doi: 10.7498/aps.62.024205
|
| [13] |
张文喜, 相里斌, 孔新新, 李杨, 伍洲, 周志盛. 相干场成像技术分辨率研究. 必威体育下载
,
2013, 62(16): 164203.
doi: 10.7498/aps.62.164203
|
| [14] |
王芳, 赵星, 杨勇, 方志良, 袁小聪. 基于人眼视觉的集成成像三维显示分辨率的比较. 必威体育下载
,
2012, 61(8): 084212.
doi: 10.7498/aps.61.084212
|
| [15] |
卢婧, 李昊, 何毅, 史国华, 张雨东. 超分辨率活体人眼视网膜共焦扫描成像系统. 必威体育下载
,
2011, 60(3): 034207.
doi: 10.7498/aps.60.034207
|
| [16] |
吴丹, 陶超, 刘晓峻. 有限方位扫描的光声断层成像分辨率研究. 必威体育下载
,
2010, 59(8): 5845-5850.
doi: 10.7498/aps.59.5845
|
| [17] |
代秋声, 漆玉金. 针孔单光子发射计算机断层成像的空间分辨率研究. 必威体育下载
,
2010, 59(2): 1357-1365.
doi: 10.7498/aps.59.1357
|
| [18] |
尚英, 霍丙忠, 孟春宁, 袁景和. 并矢格林函数下的球形超透镜. 必威体育下载
,
2010, 59(11): 8178-8183.
doi: 10.7498/aps.59.8178
|
| [19] |
向良忠, 邢达, 郭华, 杨思华. 高分辨率快速数字化光声CT乳腺肿瘤成像. 必威体育下载
,
2009, 58(7): 4610-4617.
doi: 10.7498/aps.58.4610
|
| [20] |
赵贵敏, 陆明珠, 万明习, 方莉. 高分辨率扇形阵列超声激发振动声成像研究. 必威体育下载
,
2009, 58(9): 6596-6603.
doi: 10.7498/aps.58.6596
|