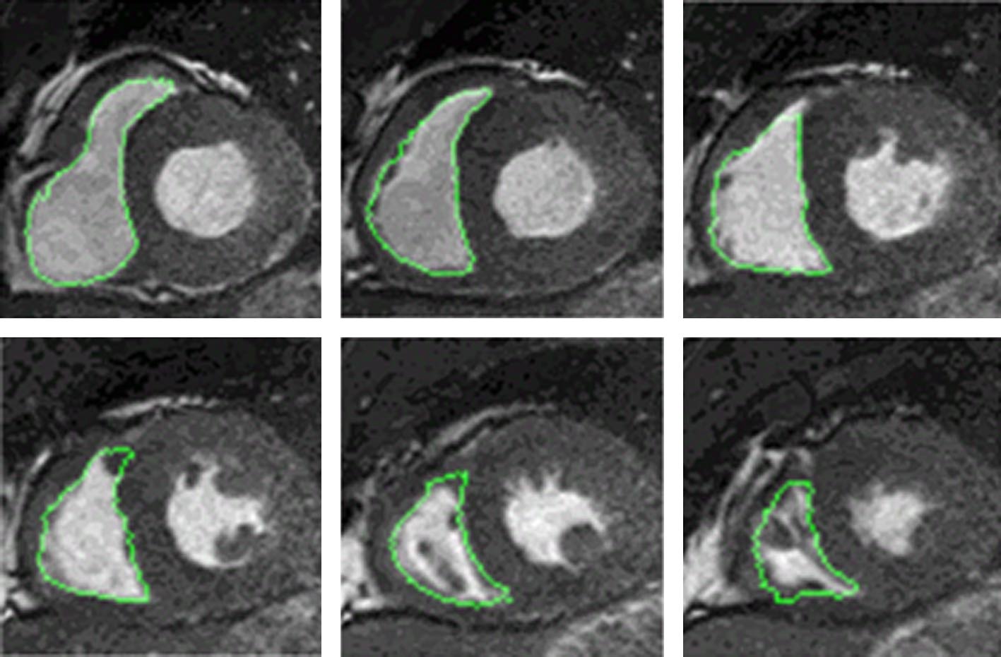
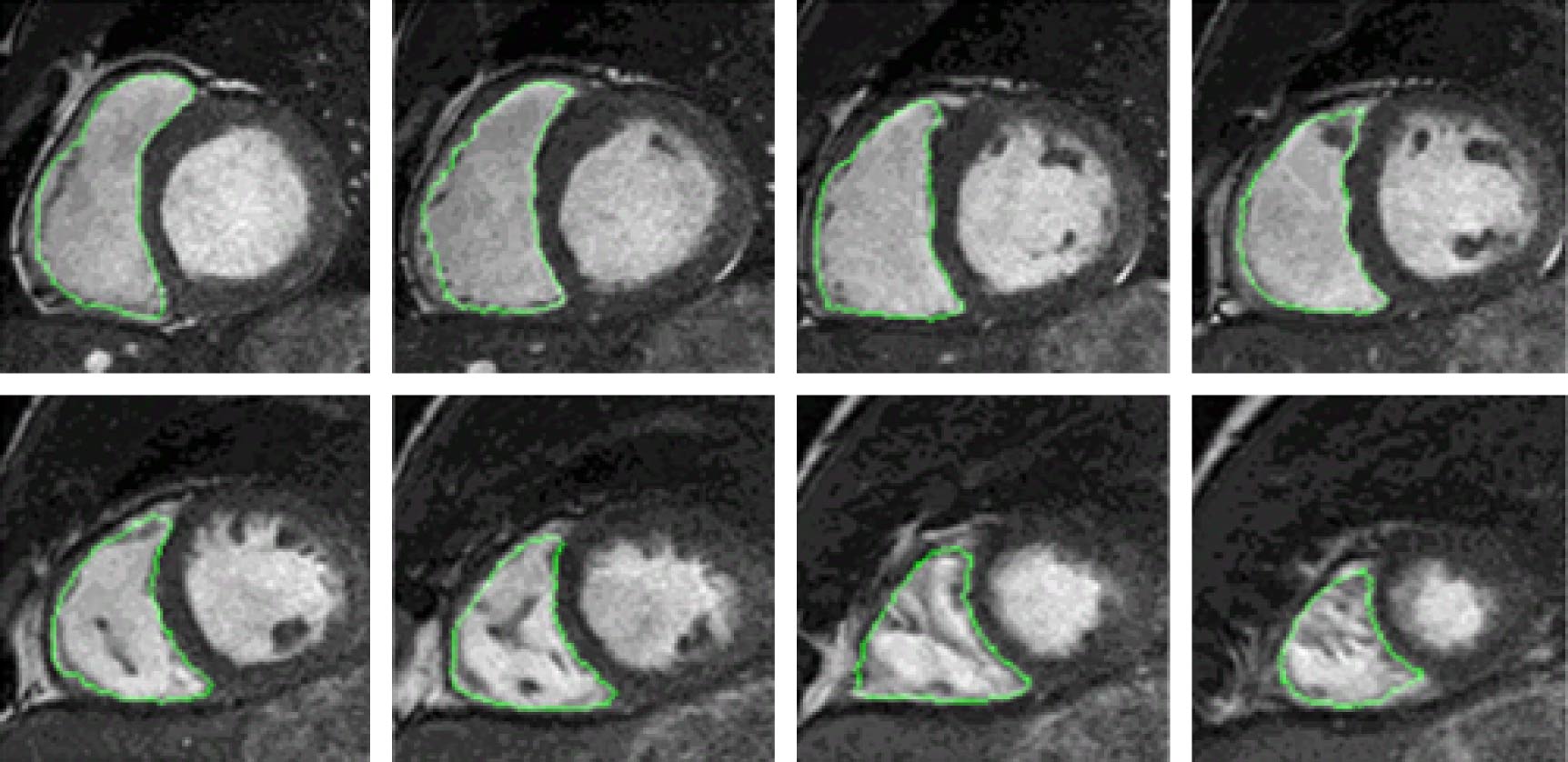
Segmentation of right ventricle (RV) in a cine cardiac magnetic resonance (CMR) image is essential for the diagnosis and therapy of cardiac diseases. Traditional image segmentation methods fail to achieve high accuracy due to the complex structure of RV. Multi-atlas frame, which transforms the segmentation into registration and fusion, has become one of the main segmentation methods of RV in recent years. In this paper, we suggest a new multi-atlas frame for the automatical and accurate segmentation of RV. Firstly, an adaptive affinity propagation algorithm is used to obtain a series of atlases, in which the atlas set most similar to the target image based on hausdorff distance and normalized mutual information is selected. Then, the target image is registered onto the selected atlas by using multi-resolution strategy-based affine transform and Diffeomorphic demons algorithm to generate a deformation field, which is applied to the label image to obtain coarse segmentation results of RV. Finally, the Consensus Level, Labeler Accuracy and Truth Estimation (COLLATE) algorithm is used to fuse the coarse segmentation result to obtain the RV. The 30 cine CMR datasets are applied to the retrospective analysis. The comparison between RV value from the present algorithm and that from the manual segmentation shows that the average dice index and hausdorff distance are 0.84 and 11.46 mm, respectively, the correlation coefficients and deviation means of endo-diastolic volume, endo-systolic volume and ejection fraction are 0.94, 0.90, 0.86, and 2.5113, –3.4783, 0.0341, respectively. Compared with convolutional neural networks, the new multi-atlas frame has an endo-systolic volume close to the manual result. The results show that the suggested method improves the accuracy and robustness of segmentation of RV from the effective atlas selection and multi-resolution Diffeomorphic demons algorithm-based registration, and it promises to be applied to clinical diagnosis.